드디어... 끝났다...흑 ㅠㅠㅠ
일단, 내 상황부터 말하자면...
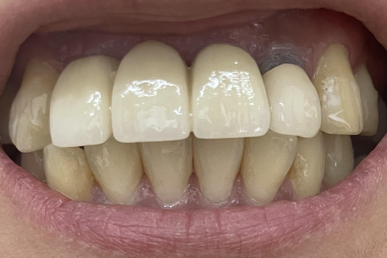
애초부터 앞니 4개가 보철치료한 상황이었다. 뿌리만 남은 상태에서. 넘어지는 바람에 앞니 3개가 미국가버렸다.!
그래서 임플란트를 양쪽에 두개 심고, 세개를 이어서 브릿지를 했다.
암튼 결과는!!


설명을 하자면...
[모양]
처음에 봤을때 엇 좀 네모난거 같은데?? 싶어서 말했는데, 그게 네모나다기보다 사진상 가장 오른쪽에 보이는 치아도 보철치료한건데, 그걸 바꿔야 한다고 한다. 지금 붙인게 정상이라고, 듣고보니 또 맞는거 같아서 수긍했다.ㅇㅅㅇ;;
오른쪽 보철치료도 거의 15년은 지난 친구라서 바꾸긴해야한다... 내구성이 넘 좋아.. 암튼..
그리고 좀 크기가 큰 감이 있는데... 이것도 오른쪽 보철치료가 좀 작아가지고 저게 초딩때한거였나... 암튼.
저게 작아서 브릿지가 커보이는데, 다른거랑 비교하면 비슷하다.
가장 내가 우려했던건, 부릿지가 티나면 어쩌지...? 싶었다. 저 브릿지 사이가 넘 붙어있는 사진을 봤기 때문에 ㅠㅠ 너무 티나는걸 봤기 때문에 ㅠㅠ
뭔가 2번 사진을 봤을때는 사이가 붙어있는게 티나는거 같은데, 실제로보면 진짜 엄청 자세히 보지않는이상 티가 안난다. 개신기하게도.
[색상]
색상은 정말 별 생각은 없긴했는데, 좀 치아가 누리끼리해서... 누리끼리한 색에 맞출지, 보철치료한 색상에 맞출지를 생각해야했다.
처음에 색상 정할때 치위생사분이 노란색에 맞추는것보다는 보철치료쪽에 맞추는게 나을것 같다며 추천해줬고, 나도 그렇게 생각했다.
만약 노란색에 맞췃으면 하나만 유난히 빛을 발했을 것...
결과적으로는 마음에 든다. 앞니 4개는 색상이 맞기 때문에 평소 웃을때 티가 별로 안난다.
치아를 붙이고나서 치위생사분이 색상이 좀 안맞는건 아니냐 괜찮냐 티나는거 같은데 괜찮냐고 계속 물어보길래....
사실 난 색상은 별 생각없었다가 듣고보니 좀... 그런거 같기도하고... 싶었다. ㅋㅋㅋㅋㅋㅋㅋㅋㅋ
근데 어쩔수가 없다. 위에 말한것처럼 난 선택을 해야 했고,,, 노란색하고 흰색 사이 중간색을 해버리면 색상이 3개가 되어버리는 이상한 일이 생길것 같아서...그렇다고 그라데이션은 좀... 암튼 그냥 내 치아는 나중에 미백을 하면되니까! 라는 생각을 했다.
[현재]
일단 외적으로는 마음에 든다... 근데...
음식을 먹을때 계속 끼는 느낌이 난다 ㅇㅅㅇ;;;; 실제로 낀건지 아닌지 모르겠는데 뭔가 음식물이 끼인느낌이 나는데 이건 좀 불쾌하다. 근데 이것도 시간이 지나니까 익숙해지기도하고,,,(계속 아저씨처럼 밥먹고나서 쓕-쓕- 하면서 앞니에 바람불게됨..ㅅㅂ.. 아쟈씨들 그래서 그랬던거였냐구!)
암튼 그리고 치아가 몇개월간 없다가 생겨서 이물감이 좀... 있다. 뭔가 잘못끼워져있나?? 각도가 안맞나?? 뭐 이런 생각도 드는데,
한 일주일 있어도 적응이 안되면 치과 가야겠다 생각했는데, 지금은 별로 이물감이 느껴지지 않는다. 치킨을 수월하게 뜯을 수 있게 되었다.
[단점]
개같은 단점이 있다. 느낌이 별로 안난다. ㅇㅅㅇ... 무언가를 씹으면 다른 치아에 비해 좀 더 많이 혹은 좀 더 세게 씹어야 내가 무언가를 물었구나 하고 느낌이 난다. 좀 신기한 느낌인데, 딱 그 3개의 앞니부분만 굉장히 둔하다. 둔하다는 말이 딱이다.(옷 여러겹입고 살 만지는 느낌?)
이게 가장 큰 단점이다. 이거 때문에 좀 우울했다. 감각하나가 사라진 느낌이라서. 그래서 난 진짜 왠만하면 뿌리는 남겨두라고 하고싶다.
나는 뿌리가 깨져서 어쩔 수 없었지만, 어지간하면 뿌리는 살려두자... 이거 생각보다 느낌이 많이 안좋다.. ㅠㅠ
근데 이건 어쩔 수 없단다... /왕으앙!
[장점]
뭐.. 딱히 장점이라고 할건 없다. 진짜 치아가 좋은거니까.
[비용]
대강 310~320들었다. + 알파(잇몸치료, 붙어있는 치아 충치치료 등)
[기간]
약 10개월.
[조언]
제발 양치 잘하시오. 본인의 치아를 지켜내시오.
"초동수사 - 증언/증거 추리게임"
증거와 진술로 추리해야 하는 게임!
방탈출 게임이 아닙니다.
증거는 모두 찾았고 용의자들에게 증언을 얻어내세요!
시즌2가 나왔습니다!
초동수사 1, 2 합본으로 출시했으니 기존 앱에서 에피소드를 확인해주세요😍
(안드로이드는 아직 없슴둥...)
[Android]
https://play.google.com/store/apps/details?id=com.loomiloomi.crimescene
[IOS]
초동수사 - 증언/증거 추리게임
Episode 1. 자택에서 친구들과 놀던 평범한 여대생 "나 미녀"가 갑작스럽게 사망했다. 그런데, 주변 사람들의 대화 내용이 심상치 않다!? ======== 안 남찬: "아니요! 저희는 밥을 먹고 있었을 뿐입니
apps.apple.com
'일상' 카테고리의 다른 글
| 글쓰기에 도움주는 어플 (0) | 2024.05.06 |
|---|---|
| 글쓰기, 소설쓰기에 도움되는 어플 (0) | 2024.05.05 |
| 추리게임 초동수사 (2) | 2024.04.24 |
| 크롬 북마크가 바뀌었을때 옛날로 돌아갔을때 (0) | 2024.02.20 |
| 버스하고 교통사고 났다? (1) | 2024.01.28 |